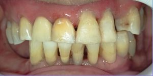
Un tema recurrente en nuestros pacientes hospitalizados en la Unidad Geriátrica Aguda es la fractura de dientes, por lo que nuestra Odontogeriatra, Dra. Javiera Espinoza, se dedica a tratar a nuestras personas mayores y tal como es el caso expuesto, tuvo que reparar tres dientes con fracturas dentarias no complicadas. Además, se le hizo higiene de mucosas y destartraje, lo cual fue muy valorado por la paciente.











