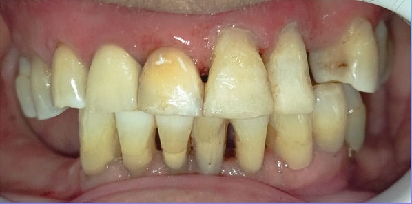
Un tema recurrente en nuestros pacientes hospitalizados en la Unidad Geriátrica Aguda es la fractura de dientes, por lo que nuestra Odontogeriatra, Dra. Javiera Espinoza, se dedica a tratar a…
Hoy se realizó un nuevo Consejo Técnico Ampliado en el cual se informó a la comunidad funcionaria sobre la actualización del Protocolo de Clave Azul, como también de la Prevención…
Un grupo de pacientes de Hospital de Día del Instituto Nacional de Geriatría participaron de un taller sobre suplementos nutricionales para personas mayores, con el objetivo de informar para qué sirven,…
Odontogeriatra restaura dientes fracturados de paciente hospitalizado
Un tema recurrente en nuestros pacientes hospitalizados en la Unidad Geriátrica Aguda es la fractura de dientes, por lo que…
Consejo Técnico se enfoca en Clave Azul y Prevención VALS
Hoy se realizó un nuevo Consejo Técnico Ampliado en el cual se informó a la comunidad funcionaria sobre la actualización…
Taller con pacientes para hablar de suplementos nutricionales
Un grupo de pacientes de Hospital de Día del Instituto Nacional de Geriatría participaron de un taller sobre suplementos nutricionales para…
Paciente artista dibuja los ejercicios para que sean replicados por pacientes
En el Instituto Nacional de Geriatría recibimos distinto tipos de pacientes, con diferentes cualidades, siendo la Sra. Isabel Cristi un…
Referentes visitan futuras dependencias para revisar señalética
Referentes de diferentes unidades de nuestro establecimiento visitaron las futuras dependencias del establecimiento para evaluar en terreno la señalética instalada,…
INGER realiza su primer Consejo Técnico Ampliado del año
En el primer Consejo Técnico Ampliado del año de nuestra institución, se le informaron de los siguientes temas a la…




















